開咬(かいこう)の治療と舌癖改善の大切さ
開咬(オープンバイト)
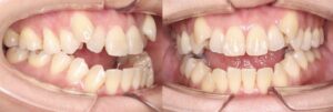
開咬(open bite)とは、上下の歯を噛み合わせたときに、前歯や奥歯の一部が接触せず、隙間が空いてしまう噛み合わせの異常(不正咬合)のことをいいます。
👉 簡単にいうと「しっかり噛んでも上下の歯の間に隙間ができる」ことが開咬です。

多くの場合、開咬は前歯が噛み合わずに臼歯だけで噛んでいる状態で見た目の問題だけでなく、噛む力が分散せず顎に大きな負担をかけるため、顎関節症や歯の早期喪失につながるリスクがあります。 本記事では、開咬治療が必要な理由や治療方法、舌癖改善の重要性、そして患者さん自身の協力が治療成功の鍵であることをわかりやすく解説します。
開咬を治すべき理由
1. 噛めない:前歯が噛み合わないため食事の効率が悪い。
2. 見た目の問題:口が閉じにくく、顔貌に影響。
3. 口呼吸による乾燥:口腔内の乾燥でむし歯や歯周病リスクが増加。
4. 臼歯への過度な負担:臼歯だけで噛むことで摩耗や破折が起きやすい。
5. 顎関節症リスク:顎関節に大きな負担がかかる。
※日本歯科医師会の8020運動(80歳で20本以上の歯を残す)において、開咬の患者さんは目標達成が難しいことが調査で分かっています。これは、開咬が歯の寿命に大きく影響することを示しています。
開咬治療の方法
開咬を治す方法には大きく3つあります。
1.前歯を挺出(上の歯→引き下げ、下の歯→引き上げ)する方法
前歯を噛み合わせに近づけることで改善。

図. 前歯を挺出(生える方向に動かす)させて咬合させる(イメージ)
2.臼歯を圧下(上の歯→引き上げ、下の歯→引き下げ)する方法
インプラントアンカーを利用して奥歯(臼歯)を根っこ方向へ動かし(圧下)、下顎を前上方へ回転させる。とくにロングフェイス型(顔が縦に長いタイプ)でオトガイ(チン)が後方に下がっている方に臼歯圧下が有効で、顔貌改善も期待できます。

図. 臼歯を圧下(歯根方向に押し込む)させて前歯を咬合させていく。それに伴い下顎骨が反時計回りに回転しオトガイ(チン)が前上方に移動する(イメージ)
このやり方はすべての症例に有効とは限らず、3級咬合(受け口タイプ)では逆効果になる場合もあるため、矯正歯科医による精密な診断が必要です。
👉実際の臨床では前歯の挺出と臼歯の圧下を併用することが多い
3.外科手術を併用する方法
重度の開咬や骨格のズレが大きい場合には、矯正治療だけでは十分な改善が得られないことがあります。 その際は、顎の骨を動かす外科手術(顎変形症の手術)を併用することで、噛み合わせと顔貌を根本から改善できるケースがあります。
👉 治療法の選択は、「開口の原因」や「顔立ちのタイプ」によって変わります。
矯正歯科医による精密な診断のうえで、患者さんに合った方法を選ぶことが大切です。
開咬の原因と舌癖
開咬の最大の原因は舌癖(ぜつへき)です。
安静時に舌が上顎に付かず、下に落ちたり前歯を押していると、歯が前に動いたり噛み合わなくなります。

・正しい舌の位置:安静時は舌全体が上顎に張り付いている状態、舌先端はスポットポジション
・舌癖を改善しないと:矯正治療による歯の動きを妨害する、矯正治療後に後戻りが起きやすい
そのため、矯正治療と同時に舌癖改善が必要です
治療成功の鍵は「舌癖の改善」
開咬の治療は患者さんの協力がより重要になります。
* MFT(口腔筋機能療法):舌の悪習癖を治すトレーニング
* 指示された顎間ゴムの使用
これらをしっかり取り組める患者さんは、良い治療結果を得られる可能性が高まります。
まとめ
開咬(オープンバイト)は見た目だけでなく、歯や顎の健康寿命を縮めるリスクの高い噛み合わせです。
治療には前歯挺出や臼歯圧下などの方法がありますが、舌癖改善(MFT)が治療成功の最大のポイントです。
矯正治療を考えている方は、まずは歯科医院で舌の癖や噛み合わせの状態をチェックしてもらうことをおすすめします。
監修医師
萩田 洋児
略歴
- 1995年
- 福岡歯科大学 卒業
- 1995年
- 歯科医師免許取得
- 1995年4月~1998年3月
- 広島大学歯学部付属病院歯科矯正科に勤務
- 1998年4月~2007年8月
- 都内の矯正歯科専門医院に勤務
- 2007年11月
- 恵比寿エスト矯正歯科開業
- 2018年11月〜
- 日本舌側矯正歯科学会理事
取得資格
- 日本矯正歯科学会認定医
- 日本成人矯正歯科学会認定医
- 世界舌側矯正歯科学会認定医 (WORLD SOCIETY OF LINGUAL ORTHODONTICS Active Member)
メッセージ
「見た目の美しさと機能性の両立」をコンセプトに、患者さん一人ひとりに最適な矯正治療を行っています。歯並びを整えるだけでなく、正しい噛み合わせを再構築し、長期的に自分の歯で健康に過ごせる口腔環境づくりを重視しています。顔全体のバランスや笑顔の印象にも配慮し、裏側矯正(リンガル矯正)やマウスピース型矯正など、ライフスタイルに合わせた治療方法を提案。治療後の後戻り防止やメインテナンスにも力を入れ、“美しく噛める歯並び”を長く保てるようサポートしています。






