歯が抜けていても矯正はできるの?
歯が抜けていても矯正はできるの?
「昔に歯を抜いてしまったけど、矯正はできるのかな?」
「虫歯や歯周病により奥歯がないままなんだけど大丈夫?」
こんな不安をお持ちの大人の患者さんはとても多いです。
結論:歯が抜けていても矯正できます!
歯が抜けていても矯正治療は可能です。
ただし、抜けた部分をどう扱うかを考えながら計画を立てること がとても大切になります。
歯を抜けたまま放置するとどうなる?
歯が抜けたままになっていると…
* 隣の歯が倒れてきてしまう
* 噛み合わせがずれてしまう
* 前歯が出てきたり、すき間ができたりする
こうした変化が起こると、治療が少し複雑になることがあります。
矯正治療でできること
矯正では、抜けた部分のスペースをどうするかを考えます。
1. スペースを閉じてきれいに並べる
2. 矯正後にインプラントやブリッジを入れられるように整えておく
どちらが良いかは、その人のお口の状態やご希望によって変わります。
実際のケース
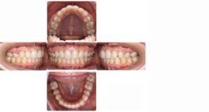
29歳の女性の患者さん。
「前歯が出ている、虫歯が原因で奥歯を2本失った」というお悩みで来院されました。
下顎左右の奥歯が失われた状態でしたが矯正治療でスペースを閉じて、上の歯は左右の小臼歯を抜歯して矯正用のアンカースクリューを併用して上の前歯を後ろに下げる治療を行いました。
結果、前歯の出っ張りが改善し自然に口を閉じられるようになり奥歯でしっかり噛める様になりました。(装置はハーフリンガル)

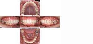
矯正治療前

矯正治療中(上顎)
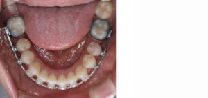
矯正治療中(下顎)

矯正治療後
※【診断】下顎左右第一大臼歯欠損を伴う上下顎前突【治療期間】約3年2ヶ月
【治療費用】検査料 ¥30,000(税別) / 基本料 ¥900,000(税別) / 調整料(毎月) ¥5,000(税別) / 保定装置 ¥30,000(税別)
【考えられるリスク】ブラッシング不良によるカリエス、歯肉退縮、歯根吸収、歯髄炎(歯の変色)
当院が大切にしていること
矯正は「見た目をきれいにする」だけではありません。
* 前歯の位置を正しく整える
* 無理なく口を閉じられるようにする
* 将来も安定した噛み合わせを作る
このように、見た目と機能の両方を整えること を大切にしています。
まとめ
* 歯が抜けていても矯正は可能です
* 抜けた部分のスペースをどうするかがポイント
* きちんと計画を立てれば、きれいで安定した歯並びを目指せます
不安に思われている方は、ぜひ一度ご相談くださいね。
監修医師
萩田 洋児
略歴
- 1995年
- 福岡歯科大学 卒業
- 1995年
- 歯科医師免許取得
- 1995年4月~1998年3月
- 広島大学歯学部付属病院歯科矯正科に勤務
- 1998年4月~2007年8月
- 都内の矯正歯科専門医院に勤務
- 2007年11月
- 恵比寿エスト矯正歯科開業
- 2018年11月〜
- 日本舌側矯正歯科学会理事
取得資格
- 日本矯正歯科学会認定医
- 日本成人矯正歯科学会認定医
- 世界舌側矯正歯科学会認定医 (WORLD SOCIETY OF LINGUAL ORTHODONTICS Active Member)
メッセージ
「見た目の美しさと機能性の両立」をコンセプトに、患者さん一人ひとりに最適な矯正治療を行っています。歯並びを整えるだけでなく、正しい噛み合わせを再構築し、長期的に自分の歯で健康に過ごせる口腔環境づくりを重視しています。顔全体のバランスや笑顔の印象にも配慮し、裏側矯正(リンガル矯正)やマウスピース型矯正など、ライフスタイルに合わせた治療方法を提案。治療後の後戻り防止やメインテナンスにも力を入れ、“美しく噛める歯並び”を長く保てるようサポートしています。






